心臓カテーテル検査入院
特徴
心臓カテーテル検査とは
心臓カテーテル検査は、血管内に特殊な2mm程度のシリコン製の管(カテーテル)を挿入し、心臓内の血圧や血液中の酸素濃度を測定したり、心臓の冠動脈に造影剤を注入して、心臓の血液潅流状態や心室の動き・弁の状態などを調べる検査です。
血管を直接レントゲン撮影するので、血管病変の性状や狭窄の度合いなどを詳しく把握することが可能であり、高い診断能を有します。
冠動脈(左冠動脈)造影検査

治療前

ステント治療後
下肢動脈カテーテル検査とは
心臓カテーテル検査のほかに下肢血管の造影検査も行っています。
カテーテルを両足の血管内に挿入して造影剤を注入する検査で、血管の走行や動脈硬化の程度などを詳細に把握することが可能です。
特に足先が紫色に変色したり足先の冷感を自覚されている方は足の太い血管が狭窄・閉塞を起こす閉塞性動脈硬化症の可能性があります。まずは簡単な検査と診察で、ある程度の診断が可能ですのでご相談下さい。
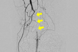
下肢動脈(浅大腿動脈)造影検査

治療前

ステント治療後
心臓カテーテル検査入院
検査前日に入院していただき、造影剤から腎臓を保護するための点滴を行います。
- 検査当日の朝は絶食となります。必要に応じて血液検査を行ないます。
- 検査着に着替えて血管造影検査室に入り、カテーテル挿入部を消毒します。
- 局所麻酔をして血管へカテーテルを挿入します。
- 検査時間はおおむね30分~40分程度です。
- カテーテルを抜いた後は止血のために15分くらい圧迫します。さらに再出血を防ぐために圧迫の重りをのせ、約4-6時間ベッドで安静にします。
- 翌日まで創部を観察し、出血などの合併症がなければ退院となります。
カテーテル検査当日のご家族の方の待機について
検査の当日は不測の事態が生じる可能性もありますので、御家族には必ず来院いただいた上、検査が無事終了し、患者さんの状態が落ち着くまでは病院で待機していただくようお願い申し上げます。
また、諸事情にてやむを得ず来院できない場合は、万が一に備えて必ず連絡をとれるよう、事前に手配していただきますようお願い申し上げます。


